3D打印個性化頸椎枕,好頸椎好睡眠好健康!
隨著科學技術的進步,電腦和手機在人們的日常生活中扮演著越來越重要的角色,工作時低頭看電腦,下班后低頭看手機以成為大多數人的常態,這也導致越來越多的人出現頸椎曲度變直,甚至出現酸脹、疼痛乃至眩暈的癥狀。

2014年底,美國的Kenneth醫生曾發表一篇關于低頭角度與頸椎壓力的文章,其中的一張圖片曾被各大新聞媒體廣泛引用。
我們將圖中計量單位換算成千克后,正常情況、15°、30°、45°和60°時,頸椎所對應承受的重量分別為4.5-5.5kg、12kg、18kg、22kg和27kg。這樣的重量可以說是“頸椎不能承受之重”,日積月累的作用之下,不加以注意必然導致頸椎自然曲度變直。

頸椎自然曲度變直不僅會降低對大腦的保護作用,當頸椎曲度變直時,支配關節突關節的神經受到刺激,導致神經的水腫和纖維化,同時引起關節周圍肌肉收縮。頸神經長期慢性的損傷可導致所支配頸部肌群的痙攣和纖維化,從而卡壓臂叢神經或刺激交感神經,引起椎孔外神經卡壓。
頸椎周圍軟組織和頸椎的關系猶如弓與弦,當頸部肌群發生攣縮和纖維化后,還可引起頸椎骨性結構的改變,進而導致頸髓受壓,引發頸椎病。好比一把弓的弓弦喪失彈性,導致弓的結構改變甚至破壞。
據估計,近四分之一的人群都會出現頸部疼痛,而糟糕的枕頭設計是導致這種極高發病率的重要因素,不適當的枕托對頸椎有不良影響,導致頸部疼痛和頸源性頭痛,最終導致睡眠質量差。

特別是頸椎病患者,需要根據患者頸椎病變的程度、肌肉組織損傷及血管神經的改變等,以恢復頸椎生理曲度為原則,挑選一個適合頸椎生理曲度的枕頭。
這種生理曲線既保證了頸椎外在的肌肉平衡,又保持了椎管內的生理解剖狀態,同時質地柔軟,透氣性好的,以中間低,兩端高的元寶形為佳,也可以對頭頸部起到相對制動與固定作用,可減少在睡眠中頭頸部的異常活動。
一個頸椎枕的選擇更加重要,有些頸椎枕常存在質地過軟、矯正作用差的問題,沒有個性化矯形規劃,軟材料也會導致矯正力度和矯正結果比較隨緣。選擇不合適的枕頭大小,可能導致頸部疼痛或加重。
每個人的頸椎曲度不同,頸椎軟組織情況各異,部分患者處于頸椎病的不同階段,因此需要進行個性化3D打印頸椎枕設計,進行頸椎曲度與頸椎周圍肌腱、韌帶等軟組織彈性的個性化矯正。

精速3D打印掃描
我們通過對頸部進行光學掃描與頸椎側位X光檢查,測量頸椎曲度,由專業矯形器師結合患者的情況設計個性化頸椎枕,部分或全部3D打印工藝制作完成,矯正頸椎的生理曲度。患者適配后拍攝X光片,做到精準矯正與治療,避免使用不適和矯枉過正。

深圳精速3D打印頸椎枕

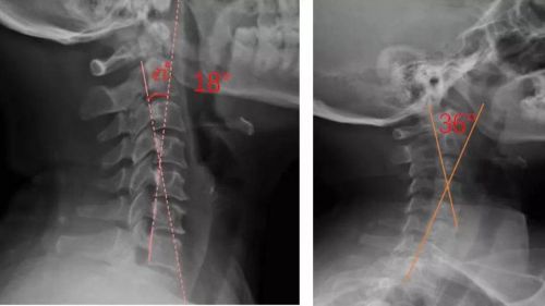
患者適配前后側位X光,佩戴前18°,適配后36°


對于頸椎病患者,合理設計的頸椎枕,能夠緊密適合頸椎,矯正頸椎生理曲度;再根據頸椎曲度改善情況,隨時間慢慢調整3D打印頸椎枕曲度,使變直的頸椎逐漸形成正常的生理曲度,改善頸肩痛的癥狀。
使駕車、打電腦等低頭工作生活一天的人們,在睡眠之中通過個性化3D打印頸椎枕的使用,解除頸椎肌肉、韌帶的疲勞,逐漸改善頸椎曲度,提高睡眠質量。

Copyright ? 2014-2020 精速三維 All Rights Reserved 備案號:粵ICP備18153175號-1